img

Cas cliniques

Original - Man holding beer Processed - Man holding beer
#Esthétique du sourire, #Implantologie

Réhabilitation globale

Original - Man holding beer Processed - Man holding beer
#Implantologie, #Esthétique du sourire

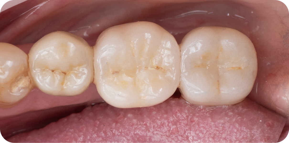
Prothèse sur implant

Original - Man holding beer Processed - Man holding beer
#Esthétique du sourire, #Implantologie

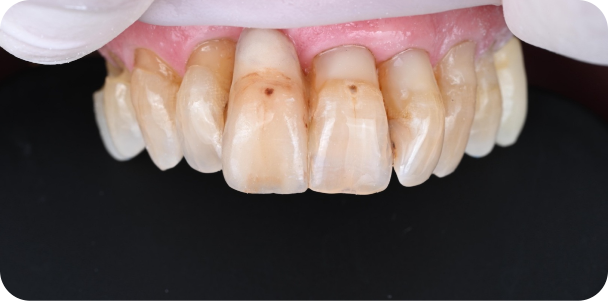
Bridge collé sur incisive centrale

Original - Man holding beer Processed - Man holding beer
#Esthétique du sourire

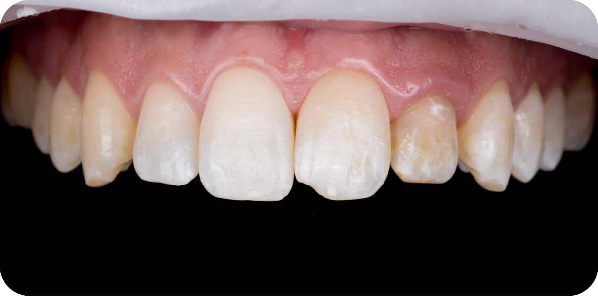
Éclaircissement incisive latérale

Original - Man holding beer Processed - Man holding beer
#Esthétique du sourire, #Implantologie

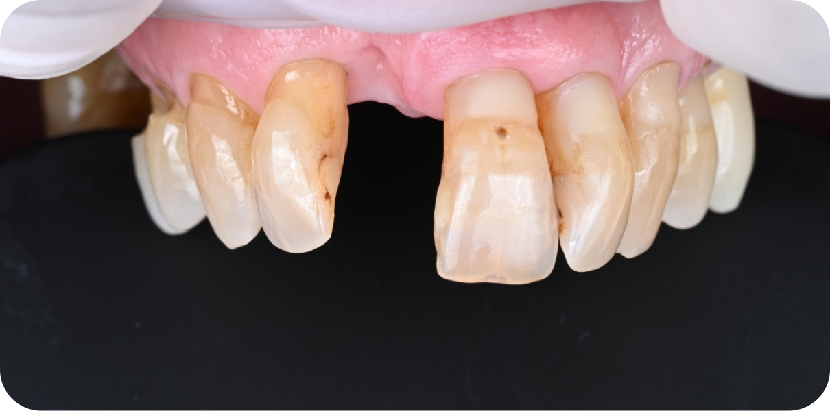
Réhabilitation globale

Merci

Votre formulaire a bien été envoyé. Nous reviendrons vers
vous prochainement.